Kenapa Pakai Gigi Palsu?

Gigi tiruan atau gigi palsu digunalan untuk menggantikan gigi yang patah atau sudah hilang. Gigi tiruan sebaiknya segera dibuatkan setelah pencabutan. Hal ini penting karena ruang / space yang ada dapat membuat gigi sebelahnya begeser dan membuat sering terselipnya makanan. Pada kasus gigi yang hilang dapat dibuatkan gigi tiruan lepasan seperti gambar di atas. Kekurangan dari gigi tiruan lepasan ini adalah mudah hilang.

Berapa Jenis Gigi Palsu?


Banyak hal yang dapat membuat gigi harus dicabut seperti gigi patah, gigi berlubang besar yang tidak dapat ditambal, trauma benturan saat olahraga, atau makan yang terlalu keras seperti kerupuk. Akibat dari banyak faktor tadi makan gigi tiruan yang digunakan juga beragam. Silahkan dibaca lebih lanjut untuk jenis gigi tiruan dari sesuai urutan hasil yang paling baik.

Mobirise

Dental Implant adalah solusi terbaik dari seluruh gigi tiruan. Pertama bentuk dan anatomy dari implant hapir sama dengan gigi asli. Warna dari mahkota gigi dapat disesuikan dengan gigi sebelahnya supaya terlihat gigi asli. Kedua dental implat merupakan gigi tiruan fixed yang tidapa dapat dilepas pasang, jadi aman tidak akan hilang. Ketiga tidak diperlukannya preparasi dari gigi sebelah kanan dan kiri sebagai penyangga. Dental implant menempel langsung di tulang yang kestabilannyua terjaga.

Mobirise

Dental Bridge sering juga disebut dengan jembatan. Gigi tiruan fixed ini dilakukan pada kasus kehilangan gigi yang di sebelah kanan dan kirinya masih terdapat gigi sehat. Jembatan gigi ini memiliki kekurangan yaitu perlunya dilakukan preparasi gigi sebelah kanan dan kiri yang gunanya sebagai penyangga. Kelebihan dari Dental Bridge adalah gigi tiuran ini cekat tidak dilepas pasang sehingga memiliki ketahanan yang lama.

Mobirise

Dental Crown atau lebih sering diengar denga istilah jacket merupakan gigi tiruan fixed yang dipakai pada kasus gigi depan yang patah akibat dari benturan keras seperti jatuh dari motor atau olahraga dengan kontak fisik. Dental Crown dapat dibuat jika masih terdapat gigi sehat yang masih kuat sebagai penyangga. Prosesnya gigi penyangga dibentuk kemudian dilakukan pemilihan warna gigi sesuai gigi kanan dan kiri. Setelah Dental Crown telah selesai dibuat dilakukan pemasangan Dental Crown.

Mobirise

Gigi tiruan atau gigi palsu digunalan untuk menggantikan gigi yang patah atau sudah hilang. Gigi tiruan sebaiknya segera dibuatkan setelah pencabutan. Hal ini penting karena ruang / space yang ada dapat membuat gigi sebelahnya begeser dan membuat sering terselipnya makanan. Pada kasus gigi yang hilang dapat dibuatkan gigi tiruan lepasan seperti gambar di atas. Kekurangan dari gigi tiruan lepasan ini adalah mudah hilang.

Biaya nya mahal ya?

Untuk Gigi Palsu Permanen hanya

Rp. 2.275.000

Untuk Gigi Palsu Lepasan hanya

Rp. 1.200.000

Hanya Hari Ini

R̶p̶.̶ ̶2̶.̶2̶7̶5̶.̶0̶0̶0̶
Rp. 1.700.xxx*

Gigi Palsu Permanen Crown Metal Porcelain (PFM)

 ̶R̶p̶.̶ ̶1̶.̶2̶0̶0̶.̶0̶0̶0̶
Rp. 1.050.xxx

Gigi Palsu Lepasan Plat Akrilik dan 1 Gigi

Tunggu apa lagi?

Jangan sampai promonya habis...

Gigi Palsu Lepasan Akrilik

1.050 xxx
Harga Normal 1̶.̶2̶0̶0̶.̶0̶0̶0̶
    Untuk 1 Gigi Pertama Berikut Gusi Buatan

Gigi Palsu Crown Metal Porcelain (PFM)

1.700 xxx
Harga Normal 2̶.̶2̶7̶5̶.̶0̶0̶0̶
  • Untuk 1 Gigi Pertama

Gigi Palsu Crown All Porcelain Emax

2.725 xxx
Harga Normal 3̶.̶0̶2̶5̶.̶0̶0̶0̶
  • Untuk 1 Gigi Pertama

Gigi Palsu Crown All Porcelain Zirconia

3.600 xxx
Harga Normal 3̶.̶5̶2̶5̶.̶0̶0̶0̶
  • Untuk 1 Gigi Pertama

* Promo berlaku khusus di Global Estetik cabang Pluit.

Dapatkan Promo
Super Deal Hari Ini

Saya mau tanya dulu...

Mau tanya atau konsultasi? WA aja!

Promo akan berakhir pada

-

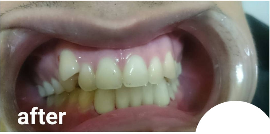
Bagaimana hasilnya?

Tunggu apa lagi?

Jangan sampai promonya habis...

© Copyright 2022 Global Estetik - All Rights Reserved